Comfortable Treatment for all ages
Modern Tech, Family‑First Care
At Thomas Orthodontics, we use leading-edge treatments to help every member of your family. Dr. Thomas provides comfortable, affordable orthodontics for all ages.
Experience You Can Trust
With 15 years of excellence and thousands of local smiles perfected, Dr. Thomas guides children, teens, and adults to results they're proud to share.
Award‑Winning, Laser‑Focused Care
Trust your smile to board‑certified, ADA‑honored Dr. Thomas—his expertise delivers faster, more comfortable results just for you.
Affordable Treatments
Enjoy free consults, no‑cost digital X‑rays, and interest‑free payment options that make every treatment fit comfortably into your family’s budget.
Convenient Appointments
Our team operates with exceptional efficiency. In today's fast-paced world, we understand the value of your time. Experience prompt care, and leave with a healthier, straighter smile—fast.
Meet Your Spanish Fork & Salem Orthodontist
Dr. James Thomas
DMD, MSD
Dr. Thomas is board-certified, so you can rest easy knowing you’re getting the highest caliber of care.
Learn MoreCare for Your Whole Family
Orthodontics for All Ages
Our team uses the latest orthodontic technology, so Thomas Orthodontics has solutions for kids, teens, and adults.
Kids
Dr. Thomas sides with the American Association of Orthodontics. Your kiddo needs their first orthodontic appointment by age seven. Call us to set up your free consultation.
Teens
Teens’ smiles are still developing and that makes them great candidates for orthodontic treatment.
Adults
Worried you haven’t got time for a brighter smile? Don’t stress! Many of Dr. Thomas’ patients are busy adults just like you.




We Create Awesome Experiences
Patients Love Us
Listen to what our happy patients are saying about their awesome experiences at Thomas Orthodontics.
Nicest Orthodontist
“Dr. Thomas and the staff are the best. Dr. Thomas is the nicest orthodontist out there, and he really knows his stuff.”
—Erin—
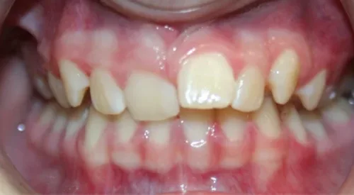
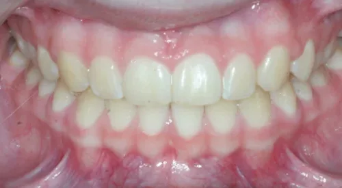
Before & Afters
See Real Results
Explore the remarkable changes our patients have experienced in our before & after gallery. At Thomas Orthodontics, every smile tells a story of confidence, care, and transformation.


3 Easy Steps to Your New Smile
Free Consultation
Come to a free exam to talk about your goals.
Digital Scans
We'll get some digital photos and X-rays of your teeth.
Begin Treatment
If you're ready for treatment, we'll transform your smile through clear aligners or braces.
